Dr Matteo Fosco | Logo  
Toggle navigation
Dr Matteo Fosco | Logo
Casi clinici

Stephan, motociclista. Intervento secondo Latarjet per recidiva lussazione di spalla dopo artroscopia

Stephan, motocross dopo intervento secondo Latarjet alla spalla

Stephan è un ragazzo di 18 anni. Durante una caduta con la moto si procura una lussazione di spalla.

Viene subito sottoposto ad un intervento in artroscopia, esegue scrupolosamente la riabilitazione consigliata, ma a 4 mesi dall’intervento la spalla si lussa di nuovo.

"Dopo il primo fallimento dell'operazione in artroscopia mi ero quasi rassegnato a dover convivere con una spalla che si lussava anche
mentre dormivo, visto che i dottori a cui mi rivolsi non volevano operarmi per via della mia giovane età"

Decide di farsi visitare dal Dr. Fosco che gli richiede degli esami per escludere la presenza di lesioni ossee.

La presenza di lesioni ossee importanti è la causa principale di fallimento di un intervento in artroscopia per instabilità di spalla, ed andrebbero sempre valutati prima di questa tipologia di intervento.


"Dopo la visita con il Dottor Fosco, a cui ho dovuto presentare tutti gli esami fatti fno a quel giorno ed anche esami più specifici da lui richiesti, ho reiniziato a pensare positivo"


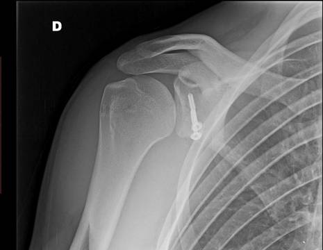
Gli esami richiesti mostrano infatti una grossa lesione ossea sull’omero. Stephan viene pertanto sottoposto ad un intervento di stabilizzazione secondo Latarjet, nonostante la sua giovane età.

Ancora una volta Stephan è bene attento nell’effettuare la rieducazione consigliata, e questa volta la spalla è definitivamente stabile, nonostante i traumi con la moto non manchino...


"Grazie al Dottor Fosco, con due giorni di ospedale tra operazione e ricovero e con circa un mese di riabilitazione, oggi posso ancora praticare motocros e fare qualsiasi altra cosa.

Ringrazio ancora il Dottore"

Contatta il Dr Matteo Fosco
per prenotare una visita
Dr Matteo Fosco | Contatti