Dr Matteo Fosco | Logo  
Toggle navigation
Dr Matteo Fosco | Logo
Protesi spalla

Protesi di spalla INVERSA: cos’è, come funziona, risultati, complicanze

La protesi inversa di spalla funziona sfruttando un meccanismo invertito rispetto alla protesi anatomica di spalla, attivando il movimento grazie alla funzione del muscolo deltoide.

Protesi inversa di spalla

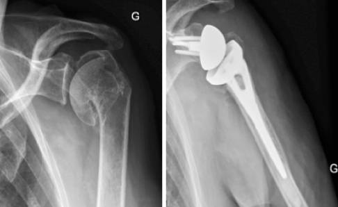
La protesi inversa è una protesi di spalla “montata al contrario”, in cui la parte concava (inserto) viene adattata allo stelo omerale mentre la parte sferica costituisce l’impianto scapolare (glenosfera).

La protesi di spalla inversa è necessaria quando le normali strutture tendinee non sono più presenti o nei casi in cui la cuffia dei rotatori è così degenerata da lasciare supporre che nel volgere di pochi anni andrà incontro a lesione irreparabile.

COME FUNZIONA LA PROTESI DI SPALLA INVERSA?

La protesi di spalla inversa è stata progettata nel 1985 in Francia dal Dr Paul Grammont, che ha avuto l’intuizione di modificare la posizione del centro di rotazione dell’articolazione gleno-omerale, migliorando così diversi parametri biomeccanici: il centro di rotazione, viene medializzato e abbassato allungando così il deltoide, migliorandone braccio di leva e momento d’azione tramite l’allungamento delle sue fibre. Il principio della protesi inversa alla spalla è di compensare la carenza funzionale della cuffia dei rotatori, ottimizzando la funzione deltoidea e creando un braccio di leva.

Successivamente all’approvazione da parte della FDA negli Stati Uniti nel 2003, la protesi di spalla inversa ha avuto un’enorme diffusione, ed è stata modificata, sviluppata e trasformata in vari modelli

MODELLI DI PROTESI INVERSA DI SPALLA

È stato osservato che ci sono attualmente più di venti società che commercializzano protesi di spalla inversa e altrettanti produttori che stanno sviluppando nuovi design. Gli impianti attuali differiscono non solo sui materiali, ma anche e soprattutto sui parametri geometrici: angolo di inclinazione del collo omerale, diametro e spessore della glenosfera, curvatura (profondità) dell’inserto omerale, lunghezza dello stelo omerale.

Il modello originale di Grammont prevedeva una protesi inversa con componente omerale medializzante ed un inserto metafisario che affonda a livello dell’osteotomia del collo anatomico realizzata a 155° di inclinazione (modello inset). Per aumentare ulteriormente il braccio di leva del deltoide, è stata successivamente sviluppato un modello di protesi inversa con una componente omerale lateralizzante che invece “appoggiava” sull’osteotomia del collo anatomico dell’omero (modello onset). Più recentemente, per dare una maggiore stabilità all’impianto, sono stati ideati modelli di protesi inversa con componente glenoidea lateralizzante

In alcuni casi è possibile utilizzare una protesi inversa di spalla a stelo corto “mininvasiva” in cui l’ingombro del metallo all’interno dell’osso è ridotto. Oltre a diminuire il sanguinamento durante l’intervento chirurgico, questa tipologia di protesi inversa permette di risparmiare tessuto osseo che potrebbe essere utile in un successivo intervento.

Per scegliere il modello di protesi inversa di spalla migliore a volte basta prevedere i problemi che si potrebbero incontrare durante l’intervento. Fondamentale è quindi la selezione del paziente, in alcun casi accompagnata da uno studio tridimensionale con TAC per valutare se vi è un’anatomia alterata dell’osso.

IN QUALE PAZIENTE È INDICATO UTILIZZARE UNA PROTESI DI SPALLA INVERSA?

La protesi di spalla inversa è necessaria quando le normali strutture tendinee non sono più presenti o nei casi in cui la cuffia dei rotatori è così degenerata da lasciare supporre che nel volgere di pochi anni andrà incontro ad una lesione irreparabile. Per funzionare infatti questa protesi non necessita dei tendini della cuffia dei rotatori, ma necessita della sola funzione del muscolo deltoide.

La protesi inversa di spalla è quindi indicata nei seguenti casi:

  • Una cuffia dei rotatori completamente rotta e che non può più essere riparata.
  • Artrosi della spalla associata a rottura dei tendini della cuffia dei rotatori (cosiddetta artrosi eccentrica).
  • Fratture complesse della spalla associate a rottura dei tendini della spalla.
  • In sostituzione di una protesi di spalla precedentemente impiantata e che non ha avuto successo.

Si può notare che la caratteristica comune a tutte queste situazioni è la mancanza di funzionalità della cuffia dei rotatori

RECUPERO DOPO INTERVENTO PROTESI DI SPALLA INVERSA

Complessivamente vi è un rapido recupero dopo un intervento di protesi inversa di spalla.

Se la tecnica chirurgica viene effettuata in maniera corretta, è possibile muovere l’arto subito dopo l’intervento; la mobilizzazione può essere effettuata in maniera autogestita o con l’aiuto di un fisioterapista.

Verrà utilizzata un’immobilizzazione con un tutore leggero per circa 1 mese, ma non sarà un’immobilizzazione assoluta in quanto si potrà rimuovere il tutore 3-5 volte al giorno per poter eseguire esercizi di mobilizzazione autogestiti della spalla per non bloccare eccessivamente l’articolazione.

Il recupero può essere completo già a partire dal secondo mese, in cui molti pazienti sono già in grado di alzare il braccio sopra la testa con dolore minimo o assente. Altri pazienti necessitano invece di un percorso più lungo di fisioterapia per un recupero completo, soprattutto per migliorare la forza muscolare e diminuire eventuali compensi funzionali.


Vedi esempio di risultato funzionale con protesi di spalla inversa

CHE RISULTATI SI POSSONO OTTENERE CON UNA PROTESI DI SPALLA INVERSA?

La protesi di spalla inversa in genere fornisce un eccezionale sollievo dal dolore e la soddisfazione dei pazienti è molto elevata.

Per quanto riguarda i movimenti della spalla operata, il risultato funzionale è almeno in parte influenzato dalle condizioni di partenza prima dell’intervento.

Le attività che è possibile fare dopo questo intervento comprendono passeggiate incluso il trekking, nuoto, golf, bicicletta (no mountain bike o down-hill), ballo liscio e altri sport a basso impatto.

Con una protesi di spalla inversa non si dovrebbero praticare attività gravose, come spostare grossi pesi, usare alcuni utensili (zappe, vanghe…), fare sport che richiedono sforzi bruschi della spalla (tennis…).

Con le appropriate cautele, la protesi di spalla inversa può durare per molti anni (15-20 anni).

QUALI SONO LE POSSIBILI COMPLICANZE DI UNA PROTESI INVERSA DI SPALLA?

Nell’ultimo decennio l’utilizzo della protesi inversa è aumentato esponenzialmente, e ciò ha portato ad un aumento in percentuale di complicanze e reinterventi.

Il rischio di complicanze dopo una protesi inversa di spalla riguarda circa il 20% dei pazienti. Le complicanze di carattere generale, come infarto o ictus da tromboembolia si verificano raramente, diversamente dai pazienti sottoposti a protesi di anca e ginocchio. Alcune malattie croniche quali il diabete o abitudini di vita quali il fumo possono aumentare il rischio di alcune complicanze. Solitamente il rischio di complicanze è più elevato nelle protesi inverse di spalla impiantate per postumi di frattura od in sostituzione di altre protesi di spalla. Per certe complicanze l’unica soluzione è un nuovo intervento, per altre è possibile un trattamento conservativo. 

Tra le complicanze più frequenti:


LUSSAZIONE ED INSTABILITA' DELLA PROTESI INVERSA. E’ la complicanza più frequente di questa tipologia di protesi alla spalla. Una lussazione della protesi è più frequente nei primi mesi dopo l’intervento, tra i fattori di rischio vi è l’obesità e l’aver effettuato altri interventi chirurgici alla spalla prima della protesi. 

In molti casi è sufficiente un trattamento conservativo con una riduzione incruenta della lussazione ed un tutore con braccio abdotto da portare qualche settimana. Nei casi in cui è necessario un nuovo intervento, talvolta è sufficiente sostituire solo alcune componenti della protesi, senza "staccare la protesi dall'osso" con un intervento quindi molto meno invasivo del precedente. Nei casi in cui la lussazione persiste, è possibile trasformare la protesi inversa in una endoprotesi, garantendo comunque una minima funzionalità. 

Nei casi di lussazione persistente di una protesi inversa, andrebbe sempre esclusa un’infezione della spalla.

RIGIDITA' E DEFICIT DI FORZA. Occasionalmente possono svilupparsi aderenze cicatriziali, che possono limitare il movimento dopo una protesi di spalla, soprattutto in quei pazienti che avevano un movimento molto limitato già prima dell'intervento chirurgico. Altri pazienti invece possono avere una deficit di forza durante alcuni movimenti, soprattutto l’extrarotazione.

Nella maggior parte dei casi la fisioterapia è in grado di migliorare parzialmente o completamente questi disturbi. Nei casi con deficit di forza in extrarotazione è possibile effettuare un intervento chirurgico di trasposizione del muscolo gran dorsale. Tuttavia questo gesto comporta aumento dell’esposizione chirurgica e del rischio di infezione e non viene eseguito come gesto di routine dalla maggior parte dei chirurghi top level nella chirurgia protesica di spalla.


INFEZIONE. L'infezione può verificarsi superficialmente alla ferita o in maniera più profonda attorno alla protesi. Può accadere, durante l'ospedalizzazione oppure dopo, quando si va a casa. L’infezione può anche verificarsi dopo anni dall'intervento chirurgico di protesi. Qualsiasi infezione del corpo anche distante dalla spalla (ascessi dei denti, infezioni delle vie urinarie…), può diffondersi e arrivare fino alla protesi di spalla. Infezioni localizzate nella zona della ferita sono generalmente trattate con antibiotici. Infezioni gravi o profonde possono richiedere altri interventi chirurgici fino alla rimozione della protesi. Le infezioni che riguardano la spalla sono spesso dovute a germi “a bassa virulenza”, che possono manifestarsi quindi con sintomi lievi; situazioni quali arrossamento della cute, presenza di tumefazioni locali, persistente lussazione della protesi, dovrebbero porre il dubbio di infezione.

Contatta il Dr Matteo Fosco
per prenotare una visita
Dr Matteo Fosco | Contatti