Dr Matteo Fosco | Logo  
Toggle navigation
Dr Matteo Fosco | Logo
Artrosi, ginocchio

Artrosi ed artrite al ginocchio

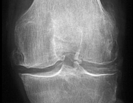
L'artrosi di ginocchio è una lenta e progressiva malattia degenerativa, in cui la cartilagine articolare si usura poco a poco.

GINOCCHIO NORMALE E CON ARTROSI

Più spesso colpisce le persone anziane, ma può colpire i pazienti più giovani, soprattutto quelli con pregresse lesioni ai menischi, alla cartilagine od ai legamenti.

L’artrosi, in sostanza, è l’evoluzione di qualsiasi lesione che comporti danni alla cartilagine all’estremità delle ossa. Quando la cartilagine è lesionata infatti, non esiste alcun trattamento che può ripristinarla; una lesione alla cartilagine non guarisce spontaneamente.

L'artrosi può essere localizzata ad una sola porzione del ginocchio ed in questo caso i sintomi sono più lievi e gestione della patologia è più semplice. Vi sono però casi in cui non vi sono le condizioni per effettuare una procedura di riparazione o ricostruzione cartilaginea, ed in cui non vi è beneficio con le terapie conservative (infiltrazioni, terapia riabilitativa, farmaci antinfiammatori), vuoi per la gravità dell'artrosi, per l’età del paziente, per l’eccessiva deviazione assiale del ginocchio etc.

In questi casi, l’artrosi localizata al ginocchio può essere efficacemente trattata e curata mediante l’impianto di protesi monocompartimentale (o protesi parziale, protesi mininvasiva di ginocchio). Sono questi mini-impianti protesici che sostituiscono solo la porzione malata del ginocchio e preservano tutti i legamenti naturali del ginocchio. Vengono chiamate protesi ma funzionano più come degli spaziatori.

Vedi approfondimento sulla protesi monocompartimentale (o protesi parziale, protesi mininvasiva di ginocchio)

L’artrosi localizzata del ginocchio spesso è causata da una lesione traumatica di anni precedenti e questa nel tempo, può arrivare ad interessare tutta l’articolazione dando origine all’artrosi completa del ginocchio.

Quando l'artrosi diviene molto grave, oppure non risponde efficacemente alle terapie conservative (infiltrazioni, terapia riabilitativa, antinfiammatori), può essere indicato un intervento di Protesi Totale di ginocchio.

Vedi approfondimento sull'intervento di Protesi totale di ginocchio.

Artrite al ginocchio

L’artrite al ginocchio è dovuta ad una serie di patologie, tra cui l'artrite reumatoide e la gotta caratterizzate da un'infiammazione cronica che attacca più articolazioni in tutto il corpo, compresa l’articolazione del ginocchio.  L'artrite è una malattia simmetrica, il che significa che di solito colpisce la stessa articolazione su entrambi i lati del corpo.  L’artrite è una malattia autoimmune, in cui il sistema immunitario attacca i suoi stessi tessuti danneggiandoli, tra questi la cartilagine, i legamenti, e la membrana sinoviale che riveste la superficie interna della capsula articolare del ginocchio. L'artrite inoltre diminuisce la consistenza dell’osso causando una osteoporosi.

Con l'evolvere dell'artrite si può quindi avere una completa scomparsa della cartilagine, quindi una vera e propria artrosi secondaria.

Condrocalcinosi e meniscocalcinosi al ginocchio

Alcune forme di artrite si caratterizzano per la deposizione di cristalli, creando una situazione definita condrocalcinosi o meniscocalcinosi.

La condrocalcinosi è una malattia delle articolazioni caratterizzata dalla presenza di depositi di cristalli contenenti calcio nella cartilagine articolare, nei menischi (meniscocalcinosi) o in altre strutture dei tessuti molli. La deposizione di questi cristalli porta ad un danno articolare: si pensa che i cristalli di calcio provochino il rilascio di citochine infiammatorie e metalloproteasi, inducendo stress ossidativo ed accelerando il deterioramento della cartilagine. La condrocalcinosi e la meniscocalcinosi spesso coesistono con l'artrosi del ginocchio, sebbene non sia chiaro se la deposizione di cristalli predisponga o sia la conseguenza dell’artrosi.

La distinzione tra queste patologie è però importante in quanto la loro terapia è sotto alcuni aspetti diversa.

Contatta il Dr Matteo Fosco
per prenotare una visita
Dr Matteo Fosco | Contatti