Dr Matteo Fosco | Logo  
Toggle navigation
Dr Matteo Fosco | Logo
Casi clinici

Recupero veloce dopo un intervento di protesi totale al ginocchio: la storia del Sig. Domenico

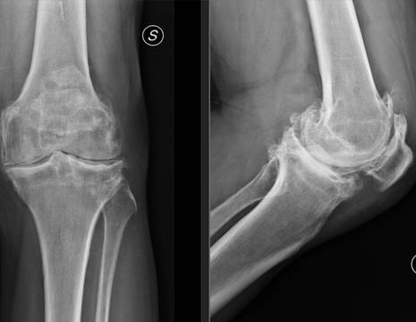
C:\fakepath\Domenico. Recupero veloce dopo intervento di protesi al ginocchio.jpeg

Il Sig. Domenico, un uomo di 66 anni appena andato in pensione, soffriva da tempo di artrosi al ginocchio. I dolori persistenti, associati a gonfiore e versamenti articolari, rendevano sempre più difficile svolgere le sue attività quotidiane.

In passato, il Sig. Domenico si è sottoposto a un intervento di meniscectomia totale, ovvero l’asportazione completa del menisco. Questa procedura, oggi sempre meno frequente, può favorire l’insorgenza di un’artrosi precoce del ginocchio. Nel suo caso, il quadro radiografico era chiaro: un’artrosi severa con deformazione progressiva dell’arto, noto anche come ginocchio artrosico o gonartrosi al ginocchio.

La soluzione: l’intervento di protesi totale al ginocchio

Dopo diversi tentativi di trattamento con infiltrazioni al ginocchio, che purtroppo non avevano dato risultati significativi, il Sig. Domenico si rivolge al Dr. Fosco per sottoporsi a un intervento di protesi totale al ginocchio.


L’operazione ha permesso di ripristinare il corretto allineamento dell’arto e di migliorare la mobilità dell’articolazione. Nel giro di pochi mesi, il Sig. Domenico ha ottenuto una buona articolarità e ha recuperato la piena funzionalità del ginocchio

Tempi di recupero dopo una protesi totale al ginocchio

Il recupero dopo una protesi al ginocchio dipende da diversi fattori, tra cui l’età e lo stile di vita del paziente. Persone relativamente attive, come nel caso del sig.Domenico, possono aspettarsi un recupero più rapido, rispetto a chi è più sedentario. In genere, già nelle prime settimane è possibile iniziare a camminare con l’ausilio di stampelle, mentre per un recupero completo possono essere necessari 2-3 mesi.

Quanto dura il dolore al ginocchio dopo una protesi totale?

Il dolore post-operatorio è una parte normale del processo di guarigione, ma tende a diminuire progressivamente nelle settimane successive all’intervento. La maggior parte dei pazienti avverte un miglioramento significativo entro 4-6 settimane, mentre il dolore residuo può risolversi completamente entro 3-6 mesi.

Quanto camminare dopo una protesi totale al ginocchio?

Dopo l’intervento, è fondamentale seguire un programma di fisioterapia personalizzato per favorire il recupero. Nei primi giorni è consigliabile camminare per brevi distanze con l’aiuto di stampelle o un deambulatore. Con il progredire della riabilitazione, si può gradualmente aumentare la durata delle camminate, sempre sotto la supervisione del medico o del fisioterapista.

Protesi totale ginocchio: un intervento che migliora la qualità della vita

Grazie alla protesi al ginocchio, il Sig. Domenico ha ritrovato la libertà di movimento e ha potuto finalmente godersi appieno il suo meritato periodo di pensione, dedicandosi ai suoi passatempi preferiti

Contatta il Dr Matteo Fosco
per prenotare una visita
Dr Matteo Fosco | Contatti