Dr Matteo Fosco | Logo  
Toggle navigation
Dr Matteo Fosco | Logo
Lesione cuffia dei rotatori

RECIDIVA di lesione della cuffia dei rotatori

Una nuova lesione tendinea può purtroppo accadere ai pazienti che sono stati precedentemente sottoposti ad un intervento di riparazione della cuffia dei rotatori.

Recidiva lesione cuffia dei rotatori

Nonostante l’intervento di riparazione della cuffia dei rotatori offra risultati clinici soddisfacenti per la maggior parte dei pazienti, in una percentuale che varia tra il 13% ed il 64% dei pazienti vi può essere una recidiva della lesione tendinea.

Vari fattori di rischio sono stati associati ad una recidiva di lesione della cuffia dei rotatori, tra cui fattori di rischio legati al paziente, alla lesione tendinea ed alla morfologia della spalla, alla tecnica di riparazione ed al protocollo riabilitativo seguito. Sebbene la maggior parte delle recidive della cuffia dei rotatori si manifestano con sintomi lievi, una mancanza di trattamento può condurre ad una situazione di artrosi precoce alla spalla. Per questo motivo la recidiva di lesione della cuffia dei rotatori è una situazione potenzialmente difficile da gestire e richiede competenze avanzate da parte del Chirurgo Ortopedico. 

FATTORI DI RISCHIO PER RECIDIVA DI LESIONE CUFFIA DEI ROTATORI

L’ETÀ AVANZATA è uno dei principali fattori di rischio per recidiva di lesione dopo intervento di riparazione della cuffia dei rotatori.  Alcuni autori hanno dimostrato che il tasso di recidiva della lesione è del 5% nei pazienti di età inferiore ai 50 anni, del 10% nei pazienti di età compresa tra 50 e 59 anni, del 15% nei pazienti di età compresa tra 60 e 69 anni e del 25% nei pazienti di età compresa tra 70 e 79 anni.

Patologie sistemiche come la bassa mineralizzazione ossea (i pazienti con OSTEOPOROSI hanno una probabilità di fallimento della riparazione della cuffia dei rotatori 5 volte superiore), l’IPERLIPIDEMIA e l’IPERCOLESTEROLEMIA, e lo scarso controllo glicemico nei pazienti con DIABETE hanno dimostrato di essere fattori di rischio significativi associati ad una recidiva di lesione della cuffia dei rotatori.

Riguardo invece i fattori legati alla morfologia della spalla, è stato dimostrato che un ACROMION DISCENDENTE, misurato tramite il critical shoulder angle (CSA), come mostrato in Figura 1, aumenta il carico sul tendine del sovraspinato durante l'abduzione della spalla. La riduzione del CSA mediante un'acromioplastica durante l’intervento si è dimostrata sicura e può ridurre il rischio di una nuova lesione dopo un intervento di riparazione della cuffia dei rotatori.

Le DIMENSIONI DELLA LESIONE della cuffia dei rotatori durante l’intervento di riparazione è stato correlato al rischio di recidiva a 6 mesi.

È stato dimostrato che la DEGENERAZIONE IN GRASSO del ventre muscolare è un cambiamento irreversibile correlato ad una maggiore incidenza di fallimento della riparazione della cuffia dei rotatori.

Confrontando tra loro le diverse tecniche chirurgiche esistenti per riparare la cuffia dei rotatori, i risultati sono contrastanti. Tecniche più complesse di riparazione della cuffia dei rotatori, quali tecnica “double row” o “transosseous equivalent”possono sicuramente diminuire il rischio di recidiva nelle lesioni di più ampie dimensioni. Tuttavia queste tecniche più complesse sono associate ad una ROTTURA DELLA GIUNZIONE MIOTENDINEA che sono tra le forme più gravi di recidiva della lesione delle cuffia rotatori.

Riguardo i protocolli riabilitativi seguiti dopo la riparazione della cuffia, non è stata identificata alcuna differenza nei tassi di recidiva della lesione tra pazienti con mobilizzazione precoce e ritardata. Per mobilizzazione precoce si considera un'escursione articolare attiva entro 6 settimane dall'intervento chirurgico o un'escursione articolare passiva entro tre settimane, mentre per mobilizzazione ritardata si considera un'escursione articolare attiva o passiva a partire da almeno tre settimane dalla data dell'intervento.

MECCANISMO DI RECIDIVA

Il fallimento della riparazione della cuffia dei rotatori può essere correlato ad un cedimento meccanico del sistema di riparazione, come la fuoriuscita dell'ancora dall’osso o la rottura del nodo, a un fallimento della cicatrizzazione del tendine sull’osso,  o a una nuova rottura di una riparazione ormai cicatrizzata, come nei casi di ROTTURA DELLA GIUNZIONE MIOTENDINEA.

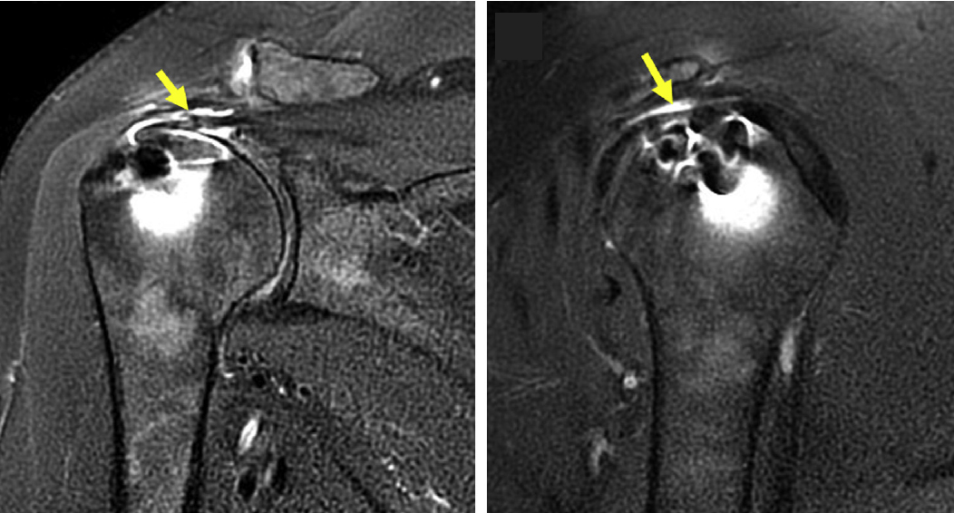
Una recidiva di lesione della cuffia rotatori può essere classificata alla RMN come Tipo 1 (assenza di tendine residuo a livello dell’inserzione su trochite) o Tipo 2 (il tessuto residuo della cuffia è rimasto nel sito di inserzione) Il fallimento di Tipo 1 può essere correlato sia a un fallimento meccanico che a un fallimento della guarigione biologica, mentre il fallimento di Tipo 2 implica una nuova rottura di una riparazione guarita.

La maggior parte (circa il 94.7%) delle recidiva di lesione si verifica tra i 6 ed i 24 mesi dopo l’intervento, tuttavia la recidiva per lesioni massive riparate può esser presente anche successivamente questo tempo.

COME SI FA DIAGNOSI DI RECIDIVA LESIONE DI CUFFIA?

La diagnosi di recidiva lesione cuffia dei rotatori purtroppo viene fatta spesso tardivamente.

Molti pazienti mantengono una funzionalità soddisfacente della spalla nonostante abbiano una recidiva di lesione cuffia dei rotatori. Tuttavia, nonostante un arco di movimento complessivamente ben conservato, nei casi con recidiva di lesione si può osservare una riduzione della forza in elevazione ed in rotazione esterna. Oltre alla sensazione di debolezza si possono percepire anche scrosci articolari, dolore sia durante l’uso dell’arto che a riposo.

Gli esami strumentali che valutano la cuffia dei rotatori dopo un intervento di riparazione possono essere difficili da interpretare. Questo a causa di artefatti derivanti dal materiale di ancoraggio (nodi, ancore in metallo o PEEK), ma anche per le alterazioni post-intervento che rendono difficile valutare l'integrità della riparazione ottenuta.

La RADIOGRAFIA può mostrare il posizionamento dei mezzi di ancoraggio all’interno dell’osso e permette una valutazione delle strutture ossee della spalla. La RISONANZA MAGNETICA (RMN) è sicuramente l'indagine di scelta per escludere una sospetta recidiva di lesione tendinea dopo un intervento di riparazione della cuffia dei rotatori. La RMN consente di valutare il ventre muscolare, la lunghezza e la qualità del tendine ed altre strutture intra-articolari che possono causare sintomi.  Vi possono infatti essere patologie concomitanti come capsulite adesiva, artrosi dell'articolazione acromioclavicolare o gleno-omerale, patologie del capo lungo del bicipite, lesioni del nervo soprascapolare e patologie della colonna cervicale.

TRATTAMENTO IN ARTROSCOPIA PER RECIDIVA DI LESIONE CUFFIA DEI ROTATORI

I pazienti con fattori prognostici sfavorevoli per la guarigione di un nuovo intervento di riparazione della cuffia dei rotatori o pazienti con basse richieste funzionali, dovrebbero sempre tentare un trattamento non chirurgico. Questo dovrebbe concentrarsi sul ripristino dell'ampiezza di movimento e sul rafforzamento della cuffia dei rotatori, del deltoide e dei muscoli periscapolari ancora intatti.

Pazienti invece più giovani e con richieste funzionali più elevate dovrebbero invece essere sottoposti ad intervento il prima possibile.


Nuova riparazione in artroscopia

Spesso è possibile ripetere un intervento in artroscopia di riparazione della lesione. I risultati funzionali e clinici sono soddisfacenti, anche se inferiori rispetto ad una riparazione primaria della cuffia dei rotatori.

Identificare la causa del fallimento e correggere eventuali fattori reversibili è fondamentale per ottenere un esito positivo della riparazione di revisione della cuffia dei rotatori.

Tra i fattori prognostici di un risultato favorevole, vi è la flessione anteriore preoperatoria della spalla: l’intervento di artroscopia non andrebbe effettuato per valori di flessione anteriore < a 90° (SPALLA PSEUDOPARALITICA). Anche il sesso maschile è associato a risultati migliori con un nuovo intervento in artroscopia.

Solitamente un nuovo intervento di riparazione artroscopia in pazienti con recidiva di lesione tendinea è tecnicamente più difficile, richiede tecniche chirurgiche di riparazione più complesse ed un numero più elevato di suture e mezzi di fissazione (ancorette).

Le difficoltà tecniche includono la scarsa qualità del tendine, una lunghezza residua del tendine ridotta, aderenze tissutali, progressiva infiltrazione adiposa o atrofia muscolare, un'area di fissazione ossea limitata ed osteoporosi locale del trochite omerale.

Un intervento di riparazione artroscopia di una recidiva lesione cuffia dei rotatori, per avere le maggiori probabilità di successo in questi casi particolarmente complessi,  andrebbe eseguito soltanto da Chirurghi Ortopedico particolarmente esperti in questa chirurgia.


Artroscopia come intervento “di salvataggio”

La riparazione di una recidiva di lesione della cuffia dei rotatori non può sempre essere effettuata in maniera completa. Non sempre infatti si riesce ad ottenere un'adeguata visualizzazione e mobilizzazione del tendine, nonchè una riparazione del tendine senza tensione e con una solida fissazione biomeccanica sul trochite omerale. Si ha una cosiddetta LESIONE IRREPARABILE DELLA CUFFIA DEI ROTATORI.

Nei pazienti con una lesione irreparabile, si può comunque effettuare una RIPARAZIONE PARZIALE O FUNZIONALE incentrata sul sottoscapolare e sull'infraspinato per ripristinare la coppia di forze della spalla ed evitare sublussazione o migrazione dell’omero verso l’alto, con conseguente artrosi precoce.

Per ridurre al minimo la tensione tendinea, può anche essere effettuata una riparazione del tendine in posizione più mediale rispetto alla sua inserzione anatomica sulla tuberosità omerale. Questa medializzazione dell’inserzione tendinea può poi generare un lieve deficit di forza.


Vedi approfondimento intervento di riparazione dei tendini cuffia dei rotatori

TRASPOSIZIONI TENDINEE

Alcuni tendini possono essere trasposti dalla loro inserzione anatomica per ovviare a tendini della cuffia dei rotatori non più riparabili. I tendini più utilizzati per trasposizioni tendinee alla spalla sono il tendine gran dorsale, trapezio, piccolo e grande pettorale. In pazienti selezionati (in primis pazienti con un età non troppo avanzata) gli interventi di trasposizione tendinea sono in grado di ripristinare una buona funzionalità alla spalla con recidiva di lesione cuffia dei rotatori non riparabile. Tuttavia negli ultimi anni è stato dimostrato come gli interventi di trasposizione tendinea abbiano un tasso di complicanze relativamente elevato e quindi il loro utilizzo è diminuito rispetto al passato.

Una tecnica recente prevede invece la TRASPOSIZIONE DEL CAPO LUNGO DEL BICIPITE PROSSIMALE SULL’OMERO. Questa tecnica ha un tasso di complicanze molto basso, è praticabile in qualsiasi Centro Ortopedico in considerazione dei suoi bassi costi ed è stata ormai validata da diversi studi clinici.

MEMBRANE BIOLOGICHE E AUGMENT SINTETICI

Per migliorare la riparazione in pazienti con scarsa qualità tendinea o per colmare le lacune quando il tendine non può essere riparato alla sua sede anatomica, possono essere utilizzate delle membrane.  

L'uso di MEMBRANE BIOLOGICHE (in genere di provenienza animale) O SINTETICHE sono invece delle tecniche complesse, a rischio di diverse complicanze tra cui quelle infettive, costose e quindi riservate a pochi Centri. L’utilizzo di concentrati a base di piastrine (PRP o PRF), cellule mesenchimali autologhe (MSC) e fattori di crescita sono terapie che possono adiuvare la cicatrizzazione tendinea, ma esistono prove limitate a supporto del loro utilizzo.

Un’altra tecnica prevede l’utilizzo di uno SPAZIATORE SUBACROMIALE O BALLOON, per distanziare il tendine a cui è stata effettuata una riparazione “al limite” dalle strutture ossee sovrastanti. In questo modo il rischio di recidiva della lesione, più alto nei primi mesi dopo l’intervento, verrebbe attenuato da questo spaziatore, che comunque con il tempo è destinato a riassorbirsi. Questa tecnica è effettuabile in artroscopia, ha un rischio di complicanze quasi nullo, tuttavia ha ancora dei costi non trascurabili.

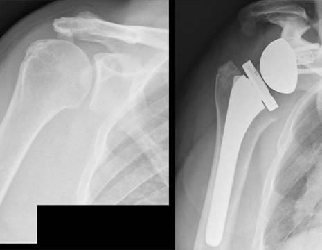
PROTESI DI SPALLA PER RECIDIVA DI LESIONE CUFFIA DEI ROTATORI

L’intervento di protesi di spalla inversa può essere indicato in pazienti con lesione irreparabile della cuffia dei rotatori, con o senza artrosi. I criteri di non riparabilità tendinea sono soprattutto radiografici (retrazione di grado elevato del tendine, degenerazione in grasso della maggior parte del muscolo, decentramento dell’epifisi omerale sulla glenoide) ma anche clinici: una SPALLA PSEUDOPARALITICA (flessione anteriore della spalla < a 90°) può essere trattata efficacemente soltanto con un intervento di protesi inversa alla spalla. La ripresa della funzionalità alla spalla è buona con questo intervento e la sopravvivenza dell’impianto protesico può arrivare al 93% dopo 10 anni.


Vedi approfondimento intervento di protesi inversa di spalla

QUANDO OPERARE UNA RECIDIVA DI LESIONE CUFFIA DEI ROTATORI?

Complessivamente, una recidiva di lesione della cuffia dei rotatori non è rara. Tuttavia il paziente precedente sottoposto ad intervento di riparazione della cuffia dei rotatori ha comunque dei buoni risultati clinici e funzionali, indipendentemente dalla presenza o meno di una recidiva di lesione tendinea agli esami strumentali. E forse per questi motivo pazienti con diagnosi strumentale di recidiva di lesione spesso preferiscono evitare un nuovo intervento di riparazione.

La scelta però dovrebbe anche valutare il rischio di evoluzione peggiorativa del quadro clinico in un futuro anche prossimo, con la necessità a quel punto di effettuare interventi più invasivi per gestire la problematica.

Appena fatta la diagnosi di recidiva di diagnosi della cuffia dei rotatori, andrebbero sempre discussi con il Chirurgo Ortopedico di riferimento la prognosi del quadro clinico ed il trattamento migliore da effettuare.

Contatta il Dr Matteo Fosco
per prenotare una visita
Dr Matteo Fosco | Contatti